How to Fix Your Smile With Porcelain Veneers
March 7, 2023
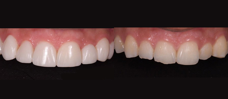
A cosmetic dentist may permanently alter the appearance of your teeth by bonding porcelain veneers to the front surfaces of your teeth. Veneers are a great way to improve the size, shape, and color of …
